top of page
SCHNEIDER LAB
Home
Research
Team
News
Cases
Publications
Funding
More
Use tab to navigate through the menu items.
Rosai-Dorfman Disease of the CNS
Reversible Small Vessel Vasculitis and Encephalitis in HIV Antiretroviral Resistance
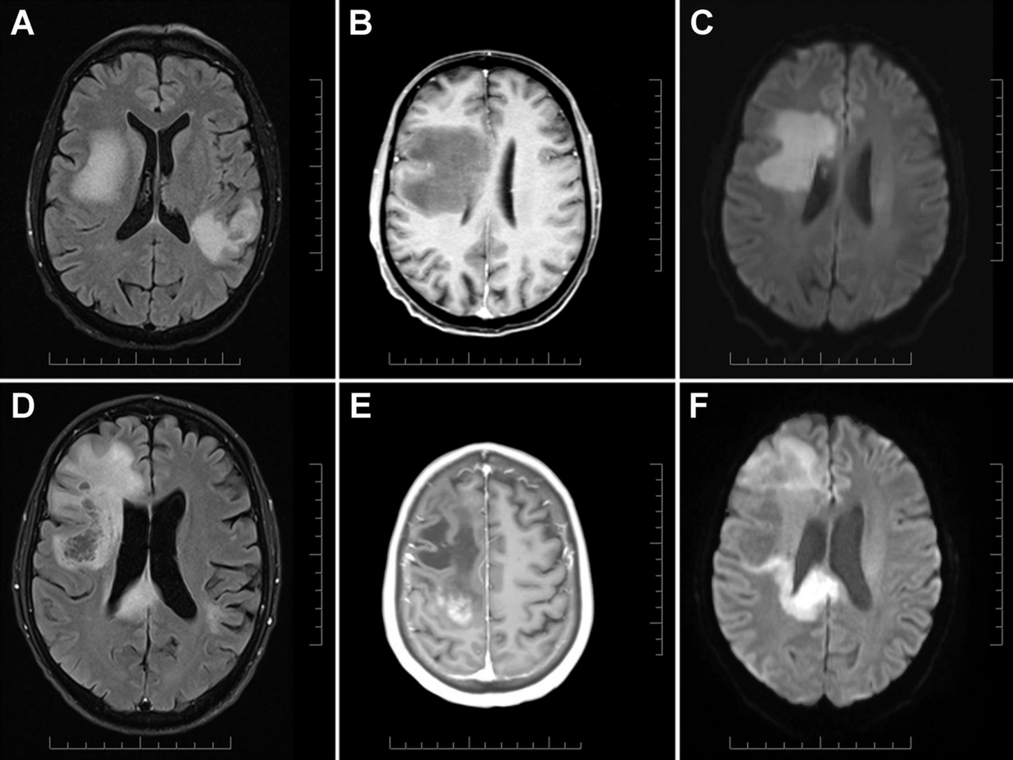
Subacute CNS Demyelination after Treatment with Nivolumab for Melanoma
Eosinophilic CNS vasculitis can mimic demyelinating disease of the brain and spinal cord
bottom of page